توصلت دراسة واسعة النطاق من “جامعة كامبريدج” شملت أكثر من 124 ألف امرأة إلى أن انقطاع الطمث يرتبط بتراجع واضح في حجم المادة الرمادية في الدماغ، خصوصاً في مناطق ترتبط بالتعلم والذاكرة والانتباه وتنظيم العواطف، وهي مناطق تتأثر أيضاً بمرض ألزهايمر. وأظهر التحليل أن العلاج بالهرمونات البديلة قد يبطئ تدهور سرعة الاستجابة، فيما تؤكد جهات مختصة أن النساء يشكلن نحو ثلثي المصابين بألزهايمر في المملكة المتحدة، لكن حسم علاقة هذه التغيرات بالخرف يتطلب تتبعاً طويل الأمد مع التشديد على دور نمط الحياة الصحي في خفض المخاطر.

توصلت أبحاث جديدة إلى وجود صلة بين انقطاع الطمث وتراجع حجم المادة الرمادية في الدماغ.

وهذه النتيجة قد تسهم في تفسير سبب ارتفاع خطر الإصابة بالخرف لدى النساء مقارنة بالرجال.

وفي التفاصيل، أجرى خبراء من "جامعة كامبريدج" البريطانية دراسة واسعة النطاق لفحص التأثيرات العصبية لهذه المرحلة من الحياة.

وكشفت الدراسة التي شملت 124780 امرأة عن أن انقطاع الطمث يرتبط بفقدان المادة الرمادية - وهي نسيج أساسي مسؤول عن الوظائف الذهنية والذاكرة والعواطف والحركة.

وإضافة إلى هذا التغير الفسيولوجي، أبرزت الدراسة أن انقطاع الطمث قد يفاقم مشكلات مثل القلق والاكتئاب واضطرابات النوم، فضلاً عن تأثيراته المعروفة في القدرات المعرفية مثل التفكير والانتباه واللغة والتعلم.

وتناول تحليل إضافي الدور الوقائي المحتمل للعلاج بالهرمونات البديلة (HRT).

وأظهرت النتائج أن النساء في مرحلة ما بعد انقطاع الطمث ممن لا يستخدمن العلاج بالهرمونات البديلة سجلن زمناً أبطأ في رد الفعل مقارنة بالنساء اللاتي لم يبلغن بعد مرحلة انقطاع الطمث أو اللاتي يستخدمن العلاج.

لكن الدراسة لم ترصد فروقاً ملحوظة في الأداء في مهمات الذاكرة بين هذه المجموعات الثلاث.

الدراسة التي نشرت في مجلة "سايكولوجيكال ميديسن" Psychological Medicine، قسمت المشاركات إلى ثلاث فئات: ما قبل انقطاع الطمث، وما بعد انقطاع الطمث ممن لم يستخدمن العلاج بالهرمونات البديلة مطلقاً، وما بعد انقطاع الطمث ممن يستخدمن العلاج.

وجمعت البيانات عبر استبيانات تناولت النوم والاكتئاب والقلق، إضافة إلى تقييمات معرفية ركزت على الذاكرة وزمن رد الفعل.

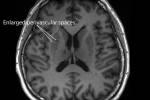
وخضعت نحو 11 ألف امرأة أيضاً لفحوص التصوير بالرنين المغناطيسي (MRI) ليتسنى للخبراء فحص بنية أدمغتهن.

وبلغ متوسط عمر بدء انقطاع الطمث لدى المشاركات 49 سنة، كما كان متوسط عمر من بدأن العلاج بالهرمونات البديلة قريباً من ذلك عندما شرعن في العلاج.

ووجدت الدراسة أن النساء في مرحلة ما بعد انقطاع الطمث كنّ أكثر ميلاً للإبلاغ عن الأرق، وعن نوم أقل إجمالاً، وعن الشعور بالتعب.

وأفادت النساء اللواتي يستخدمن العلاج بالهرمونات البديلة بأنهن الأكثر شعوراً بالتعب بين المجموعات الثلاث، على رغم أنهن نمن المقدار نفسه الذي نامته النساء اللواتي لا يستخدمن العلاج.

وقالت جميع النساء في مرحلة ما بعد انقطاع الطمث، سواء استخدمن العلاج أو لا، إنهن أكثر تعباً من النساء اللواتي لم يمررن بهذه المرحلة.

كذلك أثّر انقطاع الطمث في الإدراك.

وقالت الدكتورة كاتارينا تسولسدورف من قسم علم النفس في "جامعة كامبريدج": "مع تقدمنا في العمر، تميل سرعة استجابتنا إلى التراجع - وهذا جزء من عملية الشيخوخة الطبيعية ويحدث لدى النساء والرجال على حد سواء. يمكنكِ تخيل أن يُطلب منكِ الإجابة عن سؤال في مسابقة: قد تصلين إلى الإجابة الصحيحة كما كنتِ في سن أصغر، لكن الأصغر سناً سيصلون إليها بسرعة أكبر بلا شك".

وأضافت: "من الواضح أن انقطاع الطمث يسرع هذه العملية، لكن العلاج بالهرمونات البديلة يبدو أنه يضغط على المكابح، فيبطئ عملية الشيخوخة قليلاً".

2.jpg

ورصد الباحثون انخفاضاً كبيراً في حجم المادة الرمادية لدى النساء في مرحلة ما بعد انقطاع الطمث.

وتركزت هذه الفروق، على وجه الخصوص، في الحُصين (الذي يؤدي دوراً رئيساً في التعلم والذاكرة)، والقشرة الشمية الداخلية (الضرورية لتكوين الذكريات والملاحة المكانية)، والقشرة الحزامية الأمامية (التي تساعد في الانتباه وتنظيم العواطف).

وقالت البروفيسورة باربرا سهاكيان، كبيرة مؤلفي الدراسة من قسم الطب النفسي: "إن مناطق الدماغ التي رصدنا فيها هذه الفروق هي نفسها مناطق تميل إلى التأثر بمرض ألزهايمر. وقد يجعل انقطاع الطمث هؤلاء النسوة أكثر عرضة لاحقاً للإصابة بالمرض. وعلى رغم أن ذلك لا يقدم التفسير الكامل، فإنه قد يساعد في تفسير سبب تسجيل ما يقارب ضعف حالات الخرف لدى النساء مقارنة بالرجال".

ميشيل دايسون، الرئيسة التنفيذية لـ"جمعية ألزهايمر"، قالت إن النساء يمثلن نحو ثلثي الأشخاص الذين يعيشون مع مرض ألزهايمر في المملكة المتحدة.

وأضافت: "على رغم أننا لا نفهم حتى الآن على نحو كامل لماذا تكون النساء أكثر عرضة من الرجال، فإن ثمة اعتقاداً بأن الهرمونات قد تؤدي دوراً في ذلك... هذه الدراسة الواسعة تضاف إلى رصيد الأدلة التي تظهر كيف ينعكس انقطاع الطمث على الدماغ، بما في ذلك التغيرات الجسدية مثل تراجع حجم الدماغ".

يحتوي هذا القسم على المقلات ذات صلة, الموضوعة في (Related Nodes field)

وأردفت: "لكن من دون تتبع المشاركات على المدى الطويل لمعرفة ما إذا كنّ سيصبن لاحقاً بالخرف، لا يمكننا الجزم بأن هذه التغيرات الدماغية المرتبطة بانقطاع الطمث ترفع أيضاً خطر الخرف... وهناك خطوات يمكن للنساء - والرجال - اتخاذها اليوم لتقليل خطر الخرف، تشمل ممارسة الرياضة بانتظام وعدم التدخين وخفض استهلاك الكحول.
وإذا كنتِ قلقة في شأن نفسك أو أحد أحبائك، فإن قائمة التحقق من أعراض الخرف لدى ’جمعية ألزهايمر’ تمثل خطوة أولى مفيدة لبدء حديث مع طبيبك العام".

ووجد الباحثون أيضاً أن النساء اللواتي يستخدمن العلاج بالهرمونات البديلة أكثر عرضة لاعتلال الصحة النفسية، إلا أن تحليلهن يشير إلى أن صحتهن النفسية كانت أسوأ بالفعل قبل وصف هذا الدواء لهن.

وقالت الدكتورة كريستيل لانغلي من قسم الطب النفسي: "ستمر معظم النساء بمرحلة انقطاع الطمث، وقد تكون حدثاً يغير الحياة، سواء تناولن العلاج بالهرمونات البديلة أو لا. إن اتباع نمط حياة صحي - مثل ممارسة الرياضة والحفاظ على النشاط وتناول غذاء صحي - بالغ الأهمية خلال هذه الفترة للمساعدة في التخفيف من بعض آثارها".

وقالت الدكتورة لويز نيوسون، وهي طبيبة عامة ومتخصصة في هرمونات المرأة: "تفيد كثير من النساء بحدوث تغيرات في الذاكرة والتركيز خلال مرحلة انقطاع الطمث، وتشير هذه الدراسة إلى أن هذه الأعراض قد تكون لها أسس بيولوجية، بدلاً من تجاهلها باعتبارها مجرد تقدم في السن أو توتراً، بما يسلط الضوء على انقطاع الطمث بوصفه فترة مهمة لصحة الدماغ تكون فيها الرعاية الفردية في الوقت المناسب ضرورية".

© The Independent

هل من صلة بين انقطاع الطمث والخرف؟
هل من صلة بين انقطاع الطمث والخرف؟
هل من صلة بين انقطاع الطمث والخرف؟
هل من صلة بين انقطاع الطمث والخرف؟
هل من صلة بين انقطاع الطمث والخرف؟
هل من صلة بين انقطاع الطمث والخرف؟
هل من صلة بين انقطاع الطمث والخرف؟
هل من صلة بين انقطاع الطمث والخرف؟
هل من صلة بين انقطاع الطمث والخرف؟
هل من صلة بين انقطاع الطمث والخرف؟
هل من صلة بين انقطاع الطمث والخرف؟
هل من صلة بين انقطاع الطمث والخرف؟
هل من صلة بين انقطاع الطمث والخرف؟
هل من صلة بين انقطاع الطمث والخرف؟
هل من صلة بين انقطاع الطمث والخرف؟
هل من صلة بين انقطاع الطمث والخرف؟
أعلن في شمرا