الذكاء الاصطناعي ينجح في التنبؤ بمرض ألزهايمر بدقة تقارب 93 في المئة عبر تحليل مئات صور الرنين المغناطيسي وكشف تغيرات مبكرة في مناطق الدماغ المرتبطة بالذاكرة والإدراك. تحليل بيانات مئات المرضى كشف أن ضمور الحصين ومناطق دماغية أخرى يعد مؤشراً مبكراً للإصابة، ما يفتح الباب أمام تشخيص أسرع قد يساعد في إبطاء تطور المرض.

أكد باحثون أنهم باتوا قادرين الآن على التنبؤ بمرض ألزهايمر بدقة تقارب 93 في المئة باستخدام تقنيات الذكاء الاصطناعي.

وأفاد "معهد وورشيستر بوليتكنيك"Worcester Polytechnic Institute في ولاية ماساتشوستس الخميس بأن تحليل أكثر من 800 صورة مسح دماغي مكن الذكاء الاصطناعي من تحديد التغيرات التشريحية في الدماغ التي تشير إلى بداية أكثر أنواع الخرف شيوعاً.

وتأتي هذه النتائج بعد أعوام من الأبحاث التي أظهرت أن الذكاء الاصطناعي يمكن أن يساعد في رصد عوامل الخطر المبكرة لمرض ألزهايمر، والتنبؤ باحتمال الإصابة به، وتحديد المرضى الذين يعانون المرض من دون تشخيص.

ومن شأن استخدام الذكاء الاصطناعي في التشخيص المبكر أن يمنح المرضى والأطباء وقتاً حاسماً للاستعداد، وربما إبطاء تطور المرض.

وقال الأستاذ المساعد في الأبحاث في المعهد، بنيامين نيفيو، في بيان: "قد يكون التشخيص المبكر لمرض ألزهايمر صعباً، لأن أعراضه قد تفسر أحياناً على أنها جزء من الشيخوخة الطبيعية".

وأضاف "وجدنا أن تقنيات التعلم الآلي قادرة على تحليل كميات كبيرة من بيانات صور المسح الدماغي، مما يسمح بتحديد التغيرات الدقيقة والتنبؤ بدقة بمرض ألزهايمر والحالات الإدراكية المرتبطة به".

وجمعت صور الرنين المغناطيسي من 344 شخصاً تراوح أعمارهم ما بين 69 و84 سنة، وشملت 281 صورة لأدمغة ذات وظائف عقلية طبيعية، و332 صورة لحالات تعاني ضعفاً إدراكياً خفيفاً، و202 صورة لأشخاص مصابين بمرض ألزهايمر.

وشملت التحليلات 95 منطقة من أصل نحو 200 منطقة متميزة في الدماغ، إذ استخدمت خوارزمية للذكاء الاصطناعي للتنبؤ بالحالة الصحية للمرضى.

2.jpg

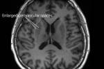
وأظهر التحليل أن أحد أبرز المؤشرات التنبئية للإصابة بمرض ألزهايمر هو ضمور حجم الدماغ، وهو ما يحدث عندما تتوقف خلايا الدماغ عن العمل في مناطق مثل الحصين المسؤول عن تكوين الذاكرة، واللوزة الدماغية المعنية بمعالجة الخوف، والقشرة الأنفية الداخلية المرتبطة بالإحساس بالزمن.

وانطبق ذلك على مختلف الفئات العمرية وكلا الجنسين، إذ أظهر كل من الرجال والنساء الذين تراوح أعمارهم ما بين 69 و76 سنة تراجعاً في حجم الدماغ في الجزء الأيمن من الحصين، مما يشير إلى أهمية هذه المنطقة في التشخيص المبكر، وفق الباحثين.

وكشفت الدراسة أيضاً أن نمط انكماش مناطق الدماغ يختلف بين الجنسين. فبين النساء ظهر تراجع حجم الدماغ في القشرة الصدغية الوسطى اليسرى المرتبطة باللغة والإدراك البصري، بينما لوحظ لدى الرجال بصورة رئيسة في القشرة الأنفية الداخلية اليمنى.

يحتوي هذا القسم على المقلات ذات صلة, الموضوعة في (Related Nodes field)

ويرى الباحثون أن هذه الاختلافات قد تعود إلى التغيرات في الهرمونات الجنسية، بما في ذلك تراجع مستويات الأستروجين لدى النساء والتستوستيرون لدى الرجال.

وقال نيفيو إن هذه النتائج قد تساعد في تحسين أساليب التشخيص والعلاج مستقبلاً. ووفق "جمعية ألزهايمر الأميركية"، يعيش أكثر من 7.2 مليون أميركي حالياً مع المرض.

وتتواصل الأبحاث للكشف عن عوامل أخرى قد تؤثر في تطور المرض.

وأضاف نيفيو: "التحدي الرئيس في هذا المجال يتمثل في تطوير نموذج تعلم آلي قابل للتعميم، قادر على التمييز بين الأدمغة السليمة وأدمغة الأشخاص المصابين بضعف إدراكي خفيف أو بمرض ألزهايمر".

© The Independent

اختراق طبي: الذكاء الاصطناعي يكشف ألزهايمر بدقة غير مسبوقة
اختراق طبي: الذكاء الاصطناعي يكشف ألزهايمر بدقة غير مسبوقة
اختراق طبي: الذكاء الاصطناعي يكشف ألزهايمر بدقة غير مسبوقة
اختراق طبي: الذكاء الاصطناعي يكشف ألزهايمر بدقة غير مسبوقة
اختراق طبي: الذكاء الاصطناعي يكشف ألزهايمر بدقة غير مسبوقة
اختراق طبي: الذكاء الاصطناعي يكشف ألزهايمر بدقة غير مسبوقة
اختراق طبي: الذكاء الاصطناعي يكشف ألزهايمر بدقة غير مسبوقة
اختراق طبي: الذكاء الاصطناعي يكشف ألزهايمر بدقة غير مسبوقة
اختراق طبي: الذكاء الاصطناعي يكشف ألزهايمر بدقة غير مسبوقة
اختراق طبي: الذكاء الاصطناعي يكشف ألزهايمر بدقة غير مسبوقة
اختراق طبي: الذكاء الاصطناعي يكشف ألزهايمر بدقة غير مسبوقة
اختراق طبي: الذكاء الاصطناعي يكشف ألزهايمر بدقة غير مسبوقة
اختراق طبي: الذكاء الاصطناعي يكشف ألزهايمر بدقة غير مسبوقة
اختراق طبي: الذكاء الاصطناعي يكشف ألزهايمر بدقة غير مسبوقة
اختراق طبي: الذكاء الاصطناعي يكشف ألزهايمر بدقة غير مسبوقة
اختراق طبي: الذكاء الاصطناعي يكشف ألزهايمر بدقة غير مسبوقة
أعلن في شمرا